Rhodobacter ist eine Bakteriengattung. Die Mitglieder sind in ihrem Stoffwechsel sehr vielseitig. Sie zählen zu den sogenannten schwefelfreien Purpurbakterien und können durch die Nutzung von Sonnenlicht und organischen Verbindungen, wie z. B. Glucose, wachsen (photoheterotroph). Sauerstoff wird hier, anders als bei den Pflanzen, nicht freigesetzt. Bei einigen Arten sind Stämme vorhanden, die auch, ähnlich wie Pflanzen, mit Licht und ohne die Nutzung von organischen Stoffen wachsen. Anstatt Sauerstoff wird hierzu z. B. Sulfid verwendet. Arten können auch über die normale Atmung, einige auch mit anaeroben Prozessen, wie Denitrifikation und Fermentation (Gärung), wachsen. Der größte Teil der biochemischen und genetischen Erforschung von schwefelfreien Purpurbakterien wurden mit den Arten Rhodobacter capsulatus und Rhodobacter sphaeroides durchgeführt. Die letztere Art wurde im Jahr 2020 zu der Gattung Cereibacter gestellt.
Die verschiedenen Arten der Gattung gedeihen im Süßwasser mit organischen Substraten und auch mit reduziertem Sauerstoffgehalt, z. B. in Klärteichen und eutrophen Seen. Wenige Arten kommen im Meer vor. Einige Arten wurden auch in Umgebungen mit hoher Temperatur, wie z. b. im Yellowstone National Park, gefunden. Auch in sehr kühlen Gebieten wurden Stämme isoliert.
Merkmale
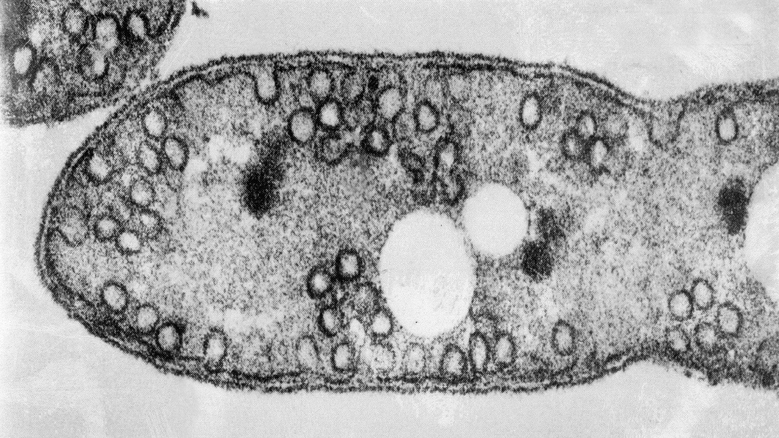
Die Zellen von Rhodobacter sind eiförmig oder kurze Stäbchen und sind je nach Art mit polaren Geißeln ausgestattet. Einige Arten sind unbeweglich und können Kapseln (Glykokalyx) oder Schleim produzieren. Die Teilung erfolgt meist durch binäre Spaltung, manchmal bilden sie hierbei Ketten. Charakteristisch für einige Stämme von R. capsulatus ist die Bildung von Ketten in "Zickzack"-Form. Die Bakterien bilden innerhalb ihrer Zellen Membransysteme in Form von Vesikeln (bläschenartige Strukturen). Diese Membranen enthalten die für die Photosynthese notwendigen Pigmente und Proteine. An diesem Membransystem können die Bakterien mehr Pigmente anlagern, als wenn sie nur die äußere Membran dafür nutzen würden. Damit steigern sie also den Energiegewinn durch die Photosynthese. Es handelt sich um Bakteriochlorophyll a und Carotinoide der Sphäroiden-Reihe. Eine Ausnahme ist die Art Rhodobacer blasticus (welche allerdings im Jahr 2024 zu der Gattung Rhodopseudomonas gestellt wurde), die periphere Lamellen bildet und sich außerdem durch Knospung teilt. Diese Membranen enthalten photosynthetische Pigmente wie Bakteriochlorophyll a und Carotinoide der Sphäroiden-Reihe. Phototrophisch wachsende Kulturen sind unter anoxischen Bedingungen meist gelbbraun bis gelbgrün gefärbt. Eine rosa oder rote Färbung tritt auf, wenn sie Sauerstoff ausgesetzt sind und somit keine Photosynthese, sondern heterotrophes Wachstum mit organischen Verbindungen als Kohlenstoff- und Energiequelle stattfindet.
Stoffwechsel und Wachstum
Physiologisch gesehen gehören die Rhodobacter-Arten zu den vielseitigsten Arten der schwefelfreien Purpurbakterien. Sie können (je nach Art) eine Reihe von verschiedenen Reaktionen für das Wachstum nutzen. Die Arten Rhodobacter capsulatus und Rhodobacter sphaeroides sind daher von Interesse der biochemischen und genetischen Untersuchung schwefelfreier Purpurbakterien.
Wenn Sauerstoff verfügbar ist (unter aeroben Bedingungen) nutzen die Arten von Rhodobacter bevorzugt die Atmung. Es werden organische Verbindungen, wie Glucose genutzt. Endprodukte sind CO2 und H2O. Alle Arten wachsen gut photoheterotroph unter Ausschluss von Sauerstoff (unter anoxischen Bedingungen) mit einer Vielzahl von Kohlenstoffquellen und Elektronendonatoren.
Bei einigen Arten erfolgt analog zu Pflanzen auch photoautotrophes Wachstum. Allerdings nur unter anoxischen Bedingungen im Licht mit Kohlendioxid (CO2) als Kohlenstoffquelle und mit Wasserstoff (H2) als Elektronenspender (Elektronendonator). Kohlendioxid wird beim photoautotrophen Wachstum über den Calvin-Zyklus gebunden. Molekularer Wasserstoff ist ein ausgezeichneter Elektronendonator für R. capsulatus, während R. sphaeroides nur langsam mit Wasserstoff wächst. Viele Stämme nutzen bei der Photosynthese auch Sulfid als Elektronenspender und oxidieren es zu elementarem Schwefel (S0). R. megalophilus kann auch photolithoautotroph mit Thiosulfat als Elektronendonor und Natriumhydrogencarbonat (NaHCO3) als Kohlenstoffquelle wachsen.
Es sind auch Arten vorhanden, die nicht autotroph wachsen können, hier erfolgt nur heterotrophes oder photoheterotrophes Wachstum. Hierzu zählen z. B. Rhodobacter azollae und R. lacus. Diese beiden Arten können nicht chemolithoautotroph wachsen und führen auch keine Fermentation durch.
Einige Rhodobacter-Arten, wie R. capsulatus, können auch aerob im Dunkeln mit molekularem Wasserstoff als Elektronendonor wachsen. Wasserstoff wird hierbei gespalten und letztendlich mit Sauerstoff als Akzeptator zu Wasser umgewandelt (man spricht hierbei auch von der Knallgasreaktion). Organische Stoff werden hierbei nicht benötigt, es handelt sich um chemolithoautotrophes Wachstum.
Einige Stämme können die anaerobe Atmung nutzen. So können bestimmte Stämme von Rhodobacter sphaeroides und R. azotoformans (seit 2020 Cereibacter azotoformans) durch Nutzung von Nitrat (Denitrifikation) Energie gewinnen. Sie können Nitrat zu Nitrit reduzieren, wobei manche Stämme auch eine vollständige Denitrifikation bis zu gasförmigem Stickstoff (N2) durchführen können. Unter anoxischen, dunklen Bedingungen können auch einige Arten der Gattung Pyruvat und verschiedene Zucker fermentieren, das Wachstum ist jedoch oft gering.
Auch alternative Elektronenakzeptoren zur anaeroben Atmung können einige Vertreter zur anaeroben Atmung verwenden, z. B. können Rhodobacter capsulatus und R. sphaeroides Dimethylsulfoxid (DMSO) und Trimethylaminoxid (TMAO) nutzen. DMSO wird hierbei zu DMS (Dimethylsulfid) und TMAO zu TMA (Trimethylamin) reduziert.
Die noch nicht vollständig beschriebene Art "Rhodobacter calidifons" zählt zu den aeroben anoxygenen phototrophen Bakterien (AAP). Hierbei wird unter aeroben Bedingungen die Lichtenergie genutzt, um ATP zu bilden. Wasser wird hier nicht als Elektronendonor genutzt und daher wird auch kein Sauerstoff produziert, es erfolgt also eine anoxygene Photosynthese, die in Gegenwart von Sauerstoff abläuft. "Rhodobacter calidifons" ist die erste hierzu fähige Art, die in der Gattung Rhodobacter identifiziert wurde.
Bei Rhodobacter sphaeroides (aktuell als Cereibacter sphaeroides geführt) wurde der Ethylmalonyl-CoA-Weg erstmals beschrieben. Es handelt sich um eine Alternative zu Glyoxylatzyklus. Hierbei werden drei Moleküle Acetyl-CoA mit zwei Molekülen CO2 zu Malat und Succinat zusammengeführt:
3 Acetyl CoA 2 CO2 → L-Malat Succinate
Dieser Stoffwechselweg ist auch von Methylobacterium extorquens bekannt. Der durch den Ethylmalonyl-CoA-Weg ersetzte Glyoxylatzyklus kann von den Bakterien nicht durchgeführt werden, da das Enzym Isocitrat Lyase bei ihnen fehlt. Der Stoffwechsel wurde in vielen Alphaproteobakterien, wie Magnetospirillum magnetotacticum, dem methylotrophen Methylobacterium extorquens und Caulobacter crescentus, sowie Streptomyces coelicolor, Caulobacter crescentus und Leptospira interrogans identifiziert. Außerdem ist es wahrscheinlich, dass dieser Stoffwechselweg auch noch in mehreren marinen Proteobakterien vorkommt. Dieser Stoffwechselweg hat industrielles Potenzial als neue Quelle für Chemikalien und Enzyme.
Viele Arten der Gattung können auch freien Stickstoff fixieren. R. capsulatus kann hierzu neben der bei Bakterien weit verbreiteten Molybdän-Nitrogenase auch eine molybdänfreie Nitrogenase, die statt Molybdän Eisen enthält, nutzen.
Ökologie
Es handelt sich zum Großteil um Süßwasserbakterien mit optimalem Wachstum bei neutralem pH-Wert und in Abwesenheit von NaCl. Lebensräume sind z. B. Süßwasser mit geringer Sauerstoffkonzentration, Klärteiche, eutrophe Seen und dergleichen. Wenige Arten kommen auch im Meer vor, wie z. B. Rhodobacter maris. Einige Arten tolerieren hohe Temperaturen. "Rhodobacter calidifons" kommt im Yellowstone National Park vor, es zählt zu den thermophilen ("wärmeliebenden") Bakterien, die Wachstumstemperatur liegt zwischen 30 und 45 °C, mit einer optimalen Temperatur von 38–39 °C. Auch die Art Rhodobacter flagellatus toleriert hohe Temperaturen. Sie wurde von einer heißen Quelle in Tibet isoliert. Optimales Wachstum erfolgt bei 45 °C. Auch die Art R. thermarum wurde in einer heißen Quelle in Tibet isoliert und verträgt Temperaturen bis zu 55 °C. Die Erstbeschreibung von Rhodobacter megalophilus stammt aus dem indischen Himalayagebirge in 3650 m Höhe. Es ist fähig noch bei 5 °C zu wachsen und toleriert Temperaturen bis zu 40 °C.
Es folgt eine Tabelle mit einigen Merkmalen und Lebensräumen einiger Arten. Einige wurden zu anderen Gattungen umgestellt, die aktuellen Namen (Stand Januar 2025) sind in Klammern angegeben.
Mögliche Nutzung
Arten von Rhodobacter sind in der Lage Chinolin abzubauen. Chinolin wird hierbei als Kohlenstoff- und Stickstoffquelle genutzt. Dies ist von Interesse, da Chinolin giftig ist. Zu dem Abbau sind auch andere Bakterien in der Lage, z. B. Rhodococcus Rhodobacter wird auch in Bezug der biotechnologischen Produktion von Biokraftstoffen aus CO2 und H2 untersucht. Die bis vor kurzem noch in der Gattung Rhodobacter geführte Art Cereibacter sphaeroides diente als Vorlage zum Konstrukt eines photokatalytischem Systems, welches zur Nutzung von Kohlendioxid eingesetzt werden könnte. Das neue System ahmt einen natürlichen Chloroplasten nach und wandelt das Kohlendioxid mit Hilfe von Licht effizient in dem als Brennstoff nutzbares Methan um. Dies könnte zum Ziel der Kohlenstoffneutralität eingesetzt werden.
Systematik
Die Gattung Rhodobacter wurde im Jahr 1984 von Johannes F. Imhoff aufgestellt. Seit 2022 zählt sie zu der Familie Paracoccaceae. Im Laufe der Zeit wurden mehrere neue Arten beschrieben, was zu einer Vielfalt in der Taxonomie führte. In einer Untersuchung wurde die Existenz von vier monophyletischen Clustern festgestellt und die Neuklassifizierung mehrerer Mitglieder der Gattung Rhodobacter in drei neue Gattungen vorgeschlagen: Luteovulum, Phaeovulum und Fuscovulum. So wurde z. B. Rhodobacter veldkampii in Phaeovulum reklassifiziert. Die Art Rhodobacter sphaeroides wird seit dem Jahr 2020 aufgrund einer Genanalyse als Cereibacter sphaeroides geführt. Bei dieser Untersuchung wurden auch die Arten R. azotoformans, R. johrii und R. ovatus zu der Gattung Cereibacter gestellt.
Es folgt eine Liste einiger Gattungen (Stand 5. Februar 2025):
- Rhodobacter aestuarii Venkata Ramana et al. 2009
- Rhodobacter amnigenus Chen et al. 2021
- Rhodobacter azollae Suresh et al. 2017
- Rhodobacter calidifons Kyndt et al. 2022
- Rhodobacter capsulatus (Molisch 1907) Imhoff et al. 1984
- Rhodobacter enshiensis (Wang et al. 2014) Huang et al. 2024
- Rhodobacter ferrireducens (Yang et al. 2018) Huang et al. 2024
- Rhodobacter flagellatus Xian et al. 2020
- Rhodobacter flavescens (Mu et al. 2024) Huang et al. 2024
- Rhodobacter flavimaris Huang et al. 2024
- Rhodobacter hankyongi (Lee et al. 2020) Huang et al. 2024
- Rhodobacter huangdaonensis (Xi et al. 2019) Huang et al. 2024
- Rhodobacter kunshanensis Liu et al. 2024
- Rhodobacter lacus Suresh et al. 2017
- Rhodobacter marinus Burgess et al. 1994
- Rhodobacter maris Venkata Ramana et al. 2008
- Rhodobacter megalophilus Arunasri et al. 2008
- Candidatus Rhodobacter oscarellae corrig. Jourda et al. 2015
- Rhodobacter populi (Xu et al. 2019) Huang et al. 2024
- Rhodobacter ruber Chen et al. 2021
- Rhodobacter sediminicola Suresh et al. 2020
- Rhodobacter sediminis Subhash and Lee 2016
- Rhodobacter tardus Sheu et al. 2020
- Rhodobacter thermarum Khan et al. 2019
- Rhodobacter viridis Shalem Raj et al. 2013
- Rhodobacter xanthinilyticus Lee et al. 2024
- Rhodobacter xinxiangensis Han et al. 2024
Einzelnachweise
Literatur
- María J. Pujalte, Teresa Lucena, María A. Ruvira, David Ruiz Arahal, M. Carmen Macián: The Family Rhodobacteraceae. In: The Prokaryotes. Springer Berlin Heidelberg, Berlin, Heidelberg 2014, ISBN 978-3-642-30196-4, S. 439–512, doi:10.1007/978-3-642-30197-1_377 (englisch).
- Anuj Kumar, Jennifer Roth, Hyunho Kim, Patricia Saura, Stefan Bohn, Tristan Reif-Trauttmansdorff, Anja Schubert, Ville R. I. Kaila, Jan M. Schuller, Volker Müller: Molecular principles of redox-coupled sodium pumping of the ancient Rnf machinery. Auf: CSH bioRχiv vom 21. Juni 2024, doi:10.1101/2024.06.21.599731 (Preprint, englisch).
Weblinks
- Microbe Wiki
- NCBI



